Some Post Surgery 11/13/00, pictures.
campopsicle.mpg (2.0MB) Video clip of Cameron eating a popsicle in the ICU. He was very thirsty, counting the minutes to his 30 ml ration each hour.
campopsicle2.mpg (11.4MB) Longer version of the same clip
The next 4 pictures are all from the ICU.



CamWheelChair.mpg (2.8MB) Clip of Cameron transferring from the Intensive Care Unit to his room. ICU nurses Paula, Kathleen and Patty were great. Patty is pushing the wheelchair in the picture below.


First time sitting up in a chair. He liked this as it took some of the pressure off of his upper chest.

CamSpirometer.mpg (9.7MB) Here he is in his room the day before going home. We told him he had to get the first ball to the top to be able to go home.
CamBalloonSoccer.mpg (4.6MB) Cameron on his 5th day after surgery playing soccer with a balloon in the kitchen.

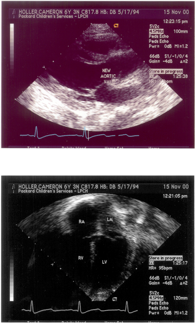
Dr. Michael Black and Team at Lucile Packard Children's Hospital performed this most successful surgery. Dr. Richard Greene at the Palo Alto Medical Foundation first discovered the condition 6 years ago and guided us through the difficult decision making process up to the surgery. We cannot describe our appreciation for what these doctors have done for Cameron and our family.
Readisorb Liposomal Glutathione a great product for defense against viruses which also mitigates their symptoms developed by Dr. Tim Guilford.
M.H. 11/19/00